肝脏被称为“沉默的器官”,痛觉神经不敏感,早期病变无明显症状。临床数据显示,代谢相关脂肪性肝病(MASLD)发病率攀升,每3个成年人中就有1人患病且呈年轻化,是肝硬化、肝癌的重要“隐形推手”;多数人存在“没症状就不用查”的误区,不少患者确诊时已达肝病中晚期,错失最佳治疗时机。
在这样的背景下,慢性肝病的早筛早诊成为护肝关键,而传统诊断方式的局限性却日益凸显。为破解这一临床困境,助力全国爱肝日“早筛防重症”的核心诉求,E超无创诊断设备凭借其技术创新,为慢性肝病无创筛查提供了全新解决方案。该设备区别于传统单一维度检测设备,E超构建了“硬度+脂肪+密实度+黏性”的四维定量评估体系,结合当前慢性肝病无创诊断的核心趋势(多参数联合评估),通过E成像(RTSWE®可精准量化肝脏硬度)、声衰减系数(ATI™)、声速定量(QSOS®)、黏弹性定量(QVisco™)四大参数的有机融合,实现了对肝脏病变的全方位解码,覆盖早期病变发现和肝纤维化、脂肪浸润等核心病变类型。

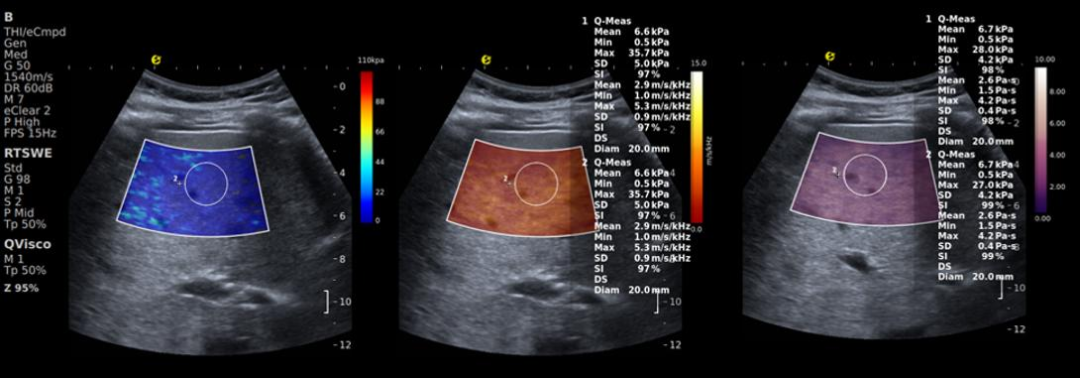
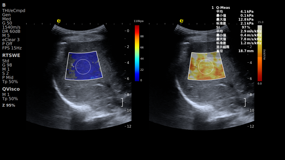
人体肝脏部位的E成像(RTSWE,左)
剪切波频散成像(SWD,中) 黏弹性成像(Viscoelastic,右)
E成像-RTSWE®
通过精准量化肝脏硬度,为肝纤维化分期提供客观的kPa值依据(参考Baveno VII共识对肝脏硬度检测的相关标准),其鉴别F2期及以上纤维化的AUROC值达0.87,显著优于传统血清学指标(如FIB-4、APRI),相关数据来自多中心临床验证研究。

声衰减成像-ATI™
填补了脂肪浸润精准量化的临床空白,通过对超声信号衰减程度的定量分析,可清晰区分单纯脂肪肝与脂肪性肝纤维化。该参数可有效解决肥胖患者肝脏检测失真的行业难题,而肥胖引发的代谢紊乱,正是临床中MASLD的核心诱因之一。

声速定量成像-QSOS®
作为早期损伤“探测器”的QSOS®声速定量技术,通过捕捉肝脏实质内声波传播速度的细微变化,能在纤维化萌芽阶段就发出预警,弥补了传统技术对早期肝损伤的漏判短板。

黏弹性定量成像-QVisco™
可精准揭示肝脏组织微观病理改变,清晰呈现肝脏从“可逆功能异常”到“不可逆结构改变”的整个病理过程。该参数能够评估细胞水肿、炎症浸润及脂质堆积等细微变化,有效弥补了传统弹性技术对微观病变与炎症活动识别能力的不足,为肝脏病理分层提供了新的影像维度,已被多项临床研究证实其应用价值。


“多参数联合评估是未来无创诊断的核心趋势,尤其是在MASLD诊疗中,能有效弥补单一参数检测的局限性。”国内很多三甲医院超声科资深专家表示,“ E超多参数集成于同一平台,一次检查即可完成全维度评估,不仅提升了诊断准确率,更大幅缩短了检查时间,真正实现了‘精准与高效’的双重落地,贴合临床实际需求。”

目前,E超技术已在全国多家核心医院完成临床应用验证,据多中心临床研究数据显示,其诊断准确率明显优于传统超声检查,在MASLD合并肥胖、慢性肝炎随访等复杂临床场景中表现尤为突出。该技术不仅重构了慢性肝病无创诊断的行业范式,更让“全病程无创监测”成为临床可能,为遏制肝硬化、远离肝癌提供了强有力的技术支撑。
☎:400-0628060 ✉:esonic@esonicimage.com
COPYRIGHT© 逸超影像 京ICP备2022002181号-1
药品医疗器械互联网信息服务备案:(京)网药械信息备字(2025)第 00057 号