冠脉超声
守护心脏第一道防线


前言
冠状动脉,作为心脏的“生命线”,其健康直接关系到全身的血液供应与心脏功能。然而,冠脉病变往往隐匿且进展缓慢,如何及早、准确地发现其异常,一直是临床诊断的重要课题。冠脉超声检查作为一种无创、实时、可重复的影像学手段,正逐渐成为评估冠脉结构与血流状态的重要工具。

01

什么是冠脉超声?

冠脉超声,即冠状动脉超声成像,是通过经胸超声心动图方法来显示心脏冠状动脉,观察的内容是走行在心脏表面及心肌内的供氧心肌的冠状动脉血管,包括左冠脉(前降支、回旋支)和右冠脉。获取冠状动脉的二维图像、彩色血流及频谱多普勒信号,从而评估血管形态、管腔大小、壁厚、血流速度与方向等信息。它无需注射造影剂,无辐射风险,适用于筛查、随访及术中实时引导。


02

冠脉超声与超声心动图核心区别及价值

超声心动图主要评估心脏整体冠脉超声与超声心动图在临床评估中各司其职、互为补充:超声心动图作为心脏整体评估的核心手段,专注于整体结构与功能成像,能够全面呈现心脏腔室大小、心室壁运动及心脏瓣膜功能等宏观指标;而冠脉超声则聚焦于冠状动脉这一“关键通道”,专门用于局部解剖与血流动力学的精准探查。结构与功能,而冠脉超声则聚焦于冠状动脉的局部解剖与血流动力学。两者相辅相成,共同构建对心脏系统的全面评估体系。
二者结合,可构建起从心脏整体结构到局部血管功能的全维度评估体系。具体而言,冠脉超声能够清晰显示冠状动脉的走行与管壁形态,精准判断斑块性质及狭窄程度;同时通过彩色与频谱多普勒技术,量化血流速度与充盈情况,识别血流紊乱或梗阻迹象,尤其对开口、近段病变及心肌桥等结构异常具有独特的诊断优势。
03

冠脉超声的适用人群与禁忌情况

一、适用人群
· 有胸闷、胸痛、气短、心悸等症状,需初步评估冠脉情况者;
· 有冠心病高危因素(高血压、高血脂、糖尿病、长期吸烟、肥胖等)的人群;
· 高龄、肾功能不全、对造影或CTA有禁忌或恐惧者,作为CTA或冠脉造影的补充评估手段;
· 临床已确诊的冠心病患者药物治疗及介入治疗后的随访。

二、不适合进行冠脉超声检查的情况
· 躁动不能配合者;
· 心率过快;
· 胸廓畸形、肋间隙窄小或凹陷;
· 其他影响超声穿透与成像的解剖或生理因素。
04

技术革新,提升冠脉超声临床价值

随着超声成像技术的持续发展,现代冠脉超声在图像分辨率和血流敏感性方面已取得了显著进步。新一代超声平台通过智能成像优化与多模态融合技术,实现了对冠脉细微结构与低速血流的更佳显示能力,为临床提供更可靠的影像诊断依据。
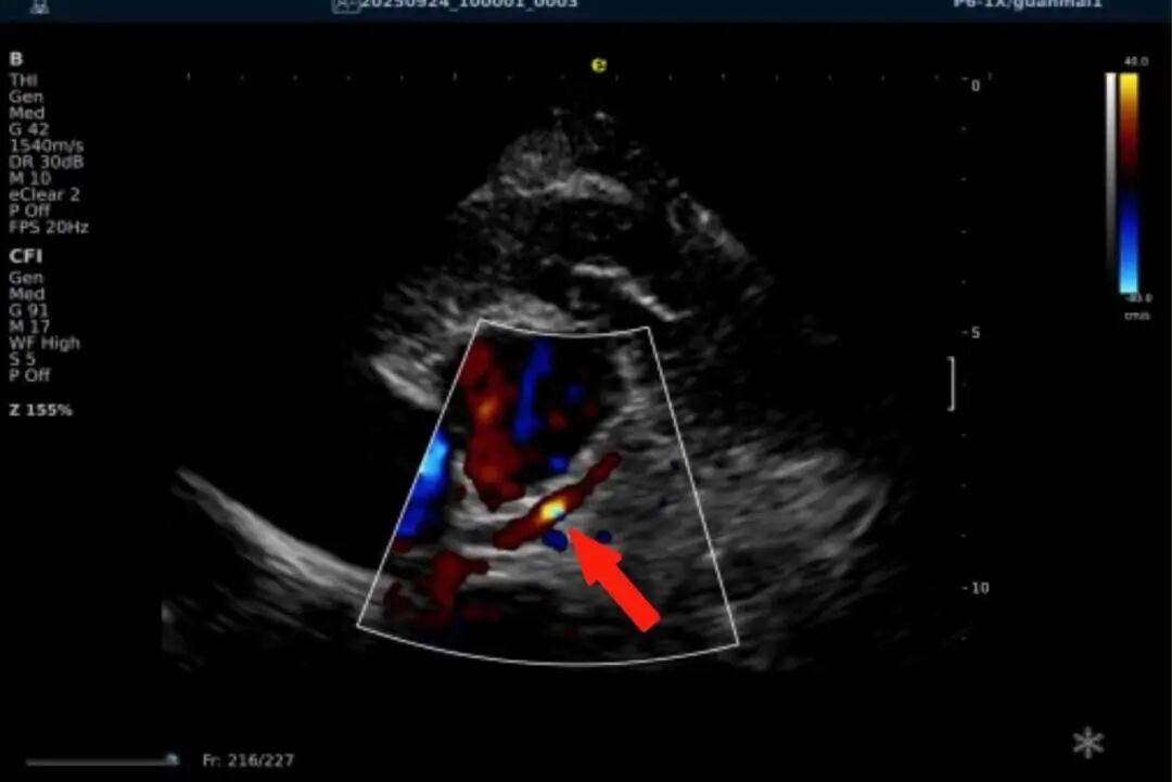
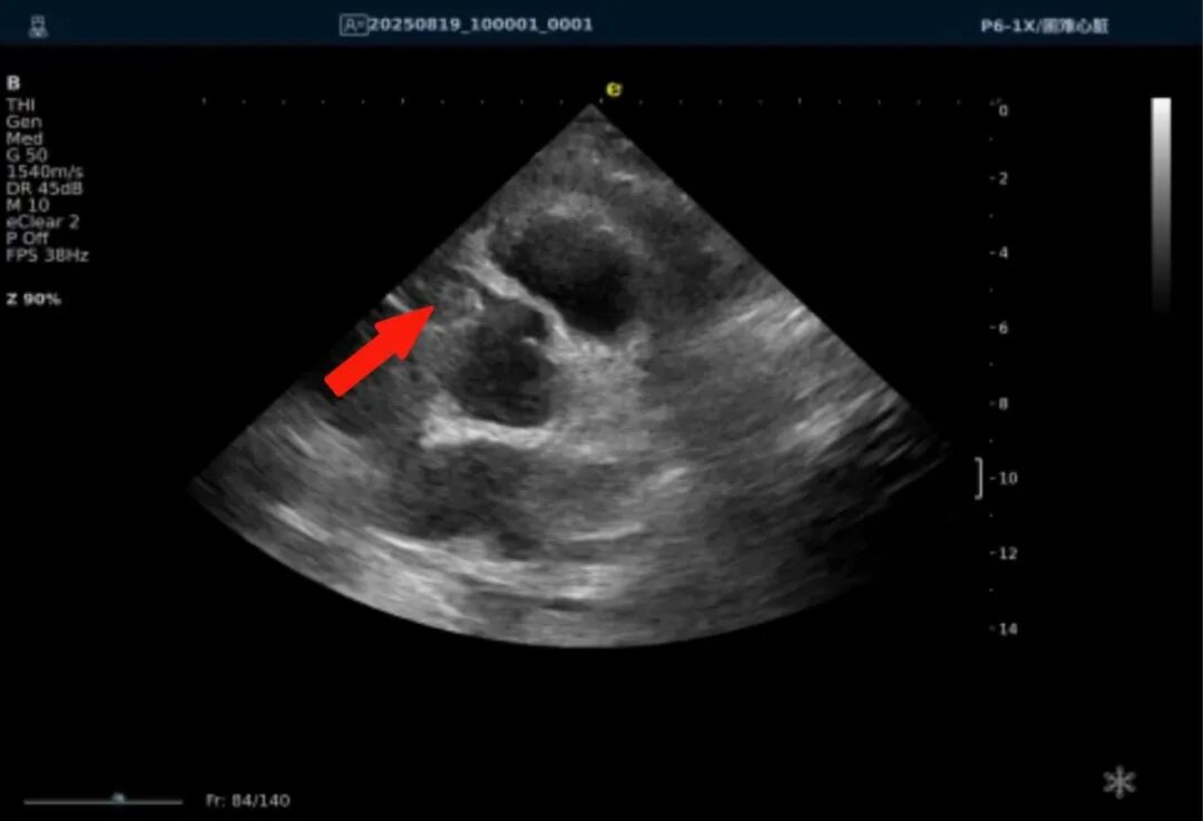
逸超医疗依托 OmniSound® 平面波超快速平台,通过优化算法与成像模式,在冠脉超声检查中实现优异的血管形态显示与血流信号捕捉,为临床提供高效辅助诊断。
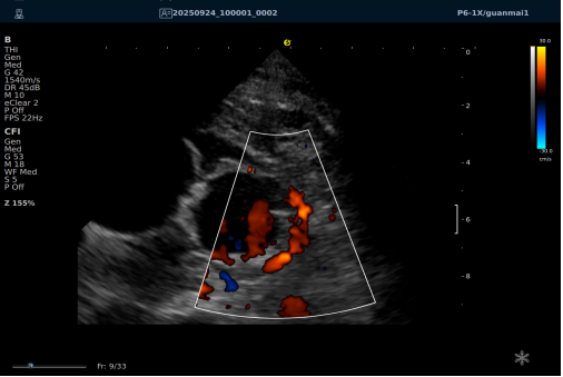
以下为逸超医疗(ESI)设备采集的冠脉图像,清晰展示了其在二维成像、彩色多普勒及频谱多普勒方面的表现:

左右滑动查看更多





心脏冠脉超声
05

病例实例

一、冠脉超声与CTA的协同诊断价值体现
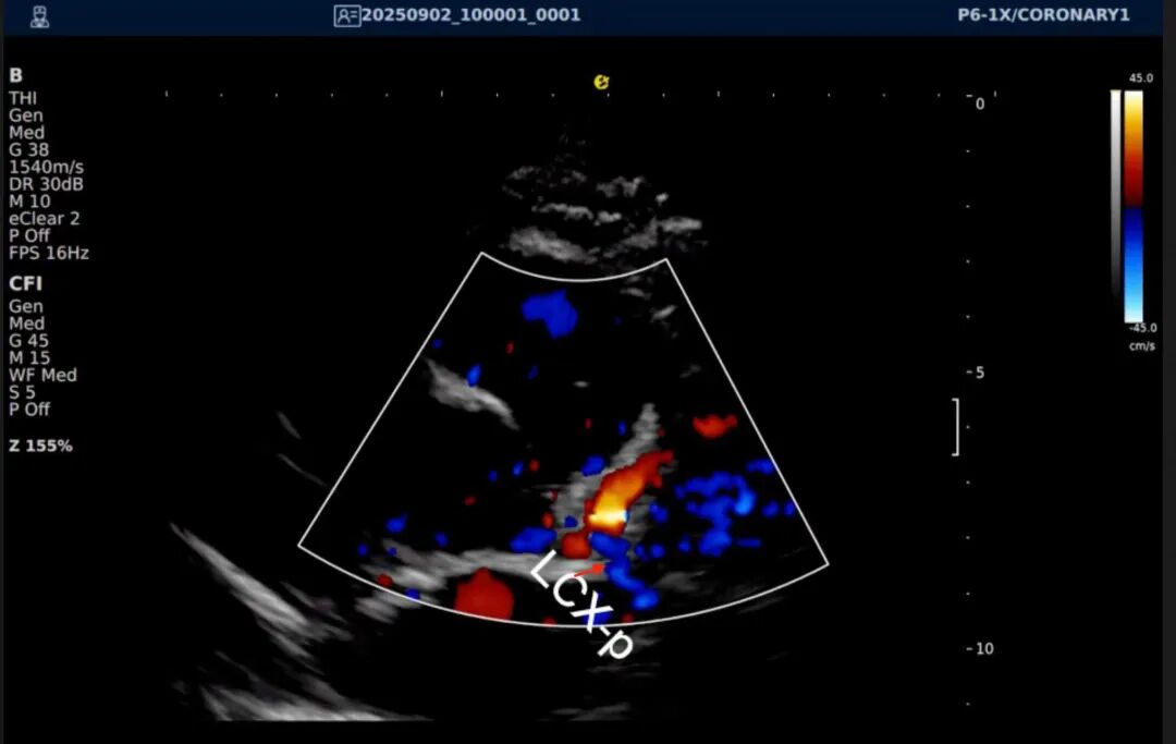
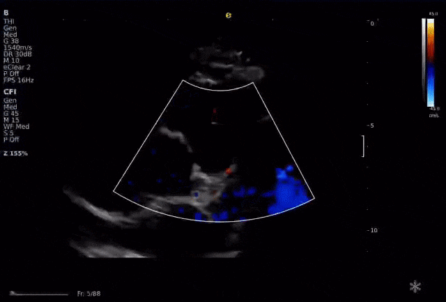
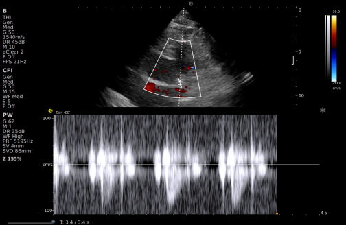
一例胸闷患者,临床采用无创冠脉超声作为初步评估手段,检查中发现:
彩色多普勒:敏感捕捉到局部血流加速现象;频谱多普勒:测得峰值血流速度明显升高,频谱形态异常。

彩色多普勒动态图

彩色多普勒

频谱多普勒
基于超声提示的异常发现,临床为患者安排了冠脉CTA检查,结果显示前降支近段存在约45%狭窄,与超声提示的血流动力学改变高度一致。

这一病例体现了冠脉超声作为初筛工具的重要价值:它能够无创、实时地评估冠脉血流动力学状态,为后续是否需要进一步影像检查提供重要参考。超声与CTA的协同应用,既能评估结构变化,又能反映功能状态,为临床诊断提供了更全面的信息。
☎:400-0628060 ✉:esonic@esonicimage.com
COPYRIGHT© 逸超影像 京ICP备2022002181号-1
药品医疗器械互联网信息服务备案:(京)网药械信息备字(2025)第 00057 号